Người đàn ông 44 tuổi ở Quảng Ninh đột ngột đổ gục vì xuất huyết não. Khi cấp cứu, huyết áp của bệnh nhân đã ở mức nguy kịch, đe dọa trực tiếp tính mạng.
Ngày 9/2, Bệnh viện Việt Nam - Thụy Điển Uông Bí (Quảng Ninh) cho biết, các bác sĩ tại đây vừa cấp cứu thành công một nam bệnh nhân 44 tuổi bị xuất huyết não trong tình trạng nguy kịch. Người bệnh không có tiền sử bệnh lý, chưa từng đi khám hay điều trị tăng huyết áp trước đó.
Người đàn ông trên được đưa vào Khoa Cấp cứu trong tình trạng lơ mơ, đau đầu dữ dội, buồn nôn và yếu nửa người bên trái. Tại thời điểm nhập viện, chỉ số huyết áp của người bệnh đo được ở mức rất cao, 180/100 mmHg. Đây là mức khủng hoảng tăng huyết áp cần can thiệp ngay, có thể gây tử vong.
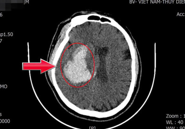
Ngay sau khi tiếp nhận, các bác sĩ đã tiến hành chụp CT sọ não cấp cứu. Kết quả cho thấy bệnh nhân bị xuất huyết não kèm tụ máu trong nhu mô não, gây chèn ép các tổ chức não xung quanh. Trước diễn biến nặng và nguy cơ đe dọa tính mạng của người bệnh, ê-kíp đã nhanh chóng hội chẩn và quyết định phẫu thuật cấp cứu lấy khối máu tụ.
Ca phẫu thuật được tiến hành khẩn trương, giúp giải phóng tình trạng chèn ép não và ổn định huyết động cho người bệnh. Sau mổ, bệnh nhân tiếp tục được theo dõi sát, hồi sức tích cực và kiểm soát chặt chẽ huyết áp để phòng ngừa biến chứng.

Hình ảnh chụp phim não của bệnh nhân. Ảnh: BVCC.
Đây là một trường hợp điển hình cho thấy xuất huyết não không chỉ xảy ra ở người cao tuổi mà ngày càng gặp nhiều ở người trẻ, đặc biệt là những trường hợp tăng huyết áp không được phát hiện và kiểm soát.
Theo các bác sĩ Bệnh viện Việt Nam - Thụy Điển Uông Bí, tăng huyết áp là yếu tố nguy cơ hàng đầu gây xuất huyết não. Khi huyết áp tăng cao kéo dài, dòng máu tạo áp lực liên tục lên thành mạch, khiến mạch máu bị giãn, tổn thương và suy yếu. Tại não, tình trạng này có thể dẫn đến phình mạch nhỏ, gây chảy máu não hoặc thúc đẩy hình thành các mảng xơ vữa, làm tắc nghẽn dòng máu nuôi dưỡng tế bào não, gây đột quỵ.
Để phòng ngừa đột quỵ, bác sĩ khuyến cáo mỗi người cần chủ động kiểm soát huyết áp, duy trì huyết áp ở mức mục tiêu dưới 140/90 mmHg.
Ngoài ra, người dân nên khám sức khỏe định kỳ ít nhất 6 tháng một lần để phát hiện sớm các yếu tố nguy cơ; cần đến cơ sở y tế ngay khi xuất hiện các dấu hiệu như nhức đầu, chóng mặt, rối loạn trí nhớ, thay đổi cảm xúc, rối loạn tâm lý hoặc hiện tượng “ruồi bay” trước mắt.
Đặc biệt, trong thời điểm giao mùa hoặc thời tiết lạnh, người bệnh, nhất là người cao tuổi, cần giữ ấm cơ thể, tránh đi tiểu ngoài trời lạnh vào ban đêm để hạn chế nguy cơ tăng huyết áp đột ngột và đột quỵ.
Theo Phương Thúy (VietNamNet)
Xem bài viết gốc tại đây